Wir stellen uns vor
Mitglied der
Herzlich Willkommen
Ich begrüße Sie an der Rezeption und am Telefon.
Bei allen Fragen zu Heil- und Kostenplänen, zum Umgang mit Ihren Krankenkassen und Zusatzversicherungen bin ich Ihre Ansprechpartnerin und berate Sie gern.
Die Organisation des Praxisablaufes, die Abrechnung und die Verwaltung liegen in meinem Verantwortungsbereich.
Vorbeugen ist besser als heilen
Die Durchführung aller prophylaktischen Leistungen ist mein Hauptaufgabengebiet, von der Kinderprophylaxe, Airflow, der professionellen Zahnreinigung bis zur parodontalen Erhaltungstherapie. Gerne beantworte ich Ihnen alle Fragen zur häuslichen Mundpflege und Hilfsmitteln.
So angenehm wie möglich
Während der zahnärztlichen Behandlung bin ich an Ihrer Seite, kümmere mich um die Vor-und Nachbereitung des Instrumentariums und unterstütze an der Rezeption.
Gesund beginnt im Mund
Alle prophylaktischen Maßnahmen sind wichtige Bausteine für die Erhaltung oder Erlangung der Mundgesundheit, deshalb bin ich gern Teil unseres Prophylaxeteams.
Hier bekommen Sie alles, was Sie für die tägliche komplette Zahnreinigung benötigen. Wir stehen Ihnen beratend zur Seite.
Verschenken Sie ein Stück Gesundheit! Ein Gutschein über eine professionelle Zahnreinigung kann Freude machen.
Mit dem Patienten- Teilzahlungskonzept von Paydent www.paydent.de wird Ihr Zahnersatz in hochwertiger Qualität bezahlbar. Z. B. 12 Monate Laufzeit bei 0% effektivem Jahreszins
Sollten Sie krankheitsbedingt an Ihr Bett oder Haus gebunden sein, kommen wir nach telefonischer Absprache und Vereinbarung im Umkreis von 20 km auch zu Ihnen nach Hause.
...weil es um Ihr Lächeln geht!
Wir haben es uns zum Ziel gesetzt, unsere Patienten nach Ihren individuellen Bedürfnissen zu einem langfristig optimalen Behandlungserfolg zu führen. Die moderne Zahnheilkunde bietet ein breites Spektrum an Möglichkeiten, Ihre Zähne zu erhalten und schöner zu gestalten oder - wenn nötig - zu ersetzen. Durch regelmäßige Fortbildungen bieten wir Ihnen eine moderne Behandlung auf höchstem Niveau.
Der Speicheltest ist eine einfache Methode zur Bestimmung des Kariesrisikos. Karies wird von Bakterien im Zahnbelag (Plaque) und im Speichel verursacht. Durch einen Speicheltest ist es möglich, die Höhe des Vorkommens dieser kariesverursachenden Keime (Mutans-Streptokokken und Laktobazillen) und die Pufferkapazität des Speichels zu bestimmen und somit das individuelle Kariesrisiko festzustellen. Der Speicheltest ist ein entscheidendes Glied in der Kette einer erfolgreichen Karies- und Parodontitisvorsorge. Auf dieser Grundlage können wir ein für Sie optimales Vorsorgeprogramm zusammenstellen.
Obwohl wir oft von der Zahnsteinentfernung sprechen, handelt es sich vielmehr um die Entfernung harter ( = Zahnstein) und auch weicher Beläge. Dazu nutzen wir in der Regel ein Ultraschallgerät. Da mit dieser Methode die Zahnoberfläche gereinigt und auch der sogenannte Biofilm ( = Hauptursache für karies- und Parodontitis) zerstört wird, handelt es sich hierbei um eine prophylaktische Maßnahme. Einmal pro Kalenderjahr wird diese Leistung von den gesetzlichen Krankenkassen übernommen. Dauer der Behandlung ca. 15 Minuten.
Air Flow ist eine einfache Methode um Zahnbelag und Zahnverfärbungen, wie beispielsweise Tee-, Kaffee- und Raucherbeläge, zu entfernen. Eben diese sind nicht nur ein optischer Mangel, sondern unterstützen einerseits durch ihre Rauhigkeit eine Belagsverstärkung und bilden andererseits den Nährboden für die karies- und parodontoseverursachenden Bakterien. Beim Air Flow trifft ein Gemisch aus Wasser, Luft und einem modifiziertem Natriumbikarbonat so auf die Zähne, dass diese schmerzlos abgestrahlt werden. Aufgrund der Anwendung von feinsten Pulver ( geringe Körnung) erfolgt während der Behandlung gleichzeitig die Politur. Damit wird eine erneute Belagsbildung erschwert. Somit erhalten Sie mit einer Air Flow - Behandlung nicht nur strahlend weiße Zähne, sondern Sie tun gleichzeitig etwas für Ihre Zahngesundheit. Air Flow ersetzt allerdings keine professionelle Zahnreinigung - nutzen Sie unsere Prophylaxe!
Air Flow ist ein eingetragenes Warenzeichen der EMS Gruppe.
Dauer der Behandlung ca. 30 Minuten.
Im Rahmen der professionellen Zahnreinigung werden durch das Anfärben der Zähne Problemzonen dargestellt. Die Beratung zur häuslichen Mundpflege und richtigen Anwendung von für Sie geeigneten Hilfsmitteln ist dadurch gezielt möglich. Bei der professionellen Zahnreinigung geht es darum, den nicht oder kaum sichtbaren Zahnbelag (= Biofilm) mit Hilfe von Pulverstrahlgeräten und speziellen Handinstrumenten zu entfernen. Besondere Beachtung finden dabei Bereiche, die bei der häuslichen Mundpflege schwierig oder gar nicht zu erreichen sind. Außerdem wird die Zunge gereinigt. Abschließend erfolgt die Politur und Fluoridierung der Zähne.
Die Prophylaxe ist die schöne Seite der Zahnmedizin. Genießen Sie unser Mundwellness und erfreuen Sie sich an gesunden Zähnen und gesundem Zahnfleisch. Alle prophylaktischen Maßnahmen werden in der Praxis von unseren speziell dafür ausgebildeten Fachhelferinnen durchgeführt.
Dauer der Behandlung bei einem vollbezahnten Gebiss ca. 60 Minuten weitere Informationen finden Sie unter http://www.DGAEZ.de
Weitere Informationen finden Sie unter http://www.DGAEZ.de
Mundgeruch ( Halitosis) kann verschiedene Ursachen haben, die sowohl im Mund als auch außerhalb des Mundes, wie z.B. Nase, Nasennebenhöhlen, obere Atemwege und Magen liegen können.
In ca. 87% der Fälle sind die Ursachen allerdings im Mund zu suchen. Dazu gehören Zungenbeläge, Zahnfleischentzündungen, Karies und Mundtrockenheit.
Eine radikale Ernährungsumstellung oder auch Stress begünstigen die Entstehung von Mundgeruch. Auch Faktoren wie Nahrungs- und Genussmittel z.B. Nikotin, Alkohol und Knoblauch können ebenfalls eine Ursache sein.
Da man seinen eigenen Geruch meist nicht selbst wahrnehmen kann, leiden Betroffene oft unter den sozialen Folgen, durch beispielweise Ab- und Ausgrenzung. Leider ist das Thema Mundgeruch heute noch Tabu. Dabei muss das nicht sein, denn es gibt erfolgsversprechende Möglichkeiten der Therapie, für ein freies Lebensgefühl mit frischem Atem.
Weitere Informationen finden Sie unter www.DGAEZ.de
Schon bei den Milchzähnen fängt die Prophylaxe für die bleibenden Zähne an: Nicht ohne Grund übernehmen die Krankenkassen ab einem Alter von sechs Jahren die Prophylaxeuntersuchungen 2x im Jahr. Je früher man mit der Prophylaxe beginnt, um so besser kann man Eingriffe durch den Zahnarzt vermeiden. Kinder sind noch keine Zahnputzprofis. Richtiges Zähneputzen muss erst erlernt werden und das ist gar nicht so einfach.
Wir helfen dabei:

Weitere Informationen finden Sie unter http://www.DGAEZ.de
Durch die Fissurenversiegelung erhalten gesunde kariesfreie Zähne für viele Jahre einen wirksamen Schutz gegen Karies! Die Kauflächen der Molaren (Mahlzähne) sind nicht etwa glatt, sondern weisen kleine Vertiefungen auf. Genau diese Grübchen sind die Fissuren. Die Fissuren in den Kauflächen der Seitenzähne sind die Orte, an denen die bakterielle Plaque meistens nicht ausreichend entfernt wird oder entfernt werden kann. Hier können die in der Plaque gebildeten Säuren besonders lange auf die Zahnoberfläche einwirken, was schließlich zu Karies führt.
Aus zahnmedizinischer Sicht ist eine Fissurenversiegelung als besonders wirksamer Kariesschutz zu empfehlen. Fissurenversiegelte Zähne werden erheblich weniger von Karies befallen als nicht versiegelte Zähne. Die gesetzlichen Krankenkassen haben die Bedeutung der Fissurenversiegelung zur Kariesverhütung grundsätzlich erkannt. Allerdings haben nur alle 6 - 18 jährigen den Anspruch auf eine Fissurenversiegelung und leider auch nur für die großen Backenzähne. Die Versiegelung der übrigen bleibenden Zähne ist eine Privatleistung.
Für ein langfristig erfolgreiches Behandlungskonzept ist die Prophylaxe und regelmäßige Check-ups Voraussetzung. Wie oft ein Recall-Termin nötig ist, ist immer von individuellen Risikofaktoren abhängig. Schnelle Zahnsteinbildung zum Beispiel können Termine in kürzeren Abständen erforderlich machen. Regelmäßige Recall-Termine und die ständige Optimierung und Anpassung der heimischen Pflege helfen Ihnen, Ihre Zähne ein Leben lang gesund zu erhalten.
Bleaching ermöglicht die Aufhellung der natürlichen Zahnfarbe. Dies geschieht mit Hilfe von Oxydationsmitteln. Untersuchungen haben erwiesen, dass die Zahnaufhellung unter Anweisung und Kontrolle von einem Zahnarzt sicher für Zähne und Zahnfleisch ist. In 4000-facher Vergrößerung der Zahnsubstanzen ist keine strukturelle Veränderung durch die Anwendung nachzuweisen.
Externes Bleaching
Für das externe Bleaching bieten wir das sogenannte Home-Bleaching an. Dazu werden in der Praxis passgenaue Kunststoffschienen angefertigt. Diese werden mit dem Bleichmaterial befüllt, so dass der Patient den Bleichvorgang nach genauer Anweisung selbständig durchführt. Voraussetzung für diese äußerlich angewandte Methode ist die professionelle Reinigung der Zahnoberflächen.
Internes Bleaching
Das interne Bleaching ist eine Aufhellungstherapie, die bei Verfärbungen wurzelgefüllter Zähne zum Einsatz kommt. Hierbei wird das Bleachingmaterial in den eröffneten Zahn eingelegt, der dann bis die gewünschte Aufhellung erreicht ist, provisorisch verschlossen wird.
Weitere Informationen finden Sie unter http://www.DGAEZ.de
Die keramischen Verblendschalen sind aufgrund ihrer hervorragenden Materialeigenschaften und mit der besonders beständigen Klebeverbindung auch in einer hauchdünnen Verarbeitung sehr lange haltbar, form- und farbbeständig. Sie sind eine minimalinvasive Behandlungsmethode, um beispielsweise durch Karies oder Unfall abgesplitterte Zahnsubstanz zu ersetzen, leichte Fehlstellungen zu korrigieren, zu große Zwischenräume zu schmälern oder unschöne Oberflächen neu zu gestalten.


Weitere Informationen finden Sie unter http://www.DGAEZ.de
Vollkeramische Restaurationen ermöglichen einen nahezu perfekten Ersatz der natürlichen Zahnsubstanz. Das Erscheinungsbild eines Zahnes wird durch seine spezielle Farbwirkung bestimmt. Diese wiederum ist das Ergebnis der Lichtreflexion der unterschiedlichen Schichten, aus denen sich der Zahn aufbaut. Mit modernen Keramiksystemen lassen sich die Zahnstrukturen Schicht für Schicht nachbilden, so daß die Restauration praktisch nicht mehr erkennbar ist. Neben der hervorragenden Ästhetik zeichnen sich keramische Restaurationen durch eine absolute Biokompatibilität (Verträglichkeit) und eine hohe Haltbarkeitsdauer aus.
Weitere Informationen finden Sie unter http://www.DGAEZ.de
Jede Krone, jede Brücke und jeder Zahnersatz ist ein Unikat, das fast alle Wünsche der Patienten an Ästhetik, Kaukomfort und Passgenauigkeit erfüllen kann. Dazu stehen uns verschiedene technische Verfahren und Materialien zur Verfügung. Mit computergestützten Verarbeitungstechniken ist es heute möglich, hochpräzisen Zahnersatz aus besonders festen Keramiken, dem sogenannten „weißen Stahl“, herzustellen. Implantate sind heute in vielen Fällen eine elegante und technisch ausgereifte Möglichkeit für eine funktionell hochwertige prothetische Versorgung. Auf Grund der vielfältigen Möglichkeiten ist eine individuelle Befundaufnahme und Beratung unumgänglich.
Wir bemühen uns immer um eine bestmögliche Versorgung unter funktionellen, ästhetischen und finanziellen Gesichtspunkten.
Weitere Informationen finden Sie unter http://www.DGAEZ.de
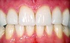
Die Parodontitis ist eine Erkrankung des Zahnhalteapparates. Nahezu 90 % der Bevölkerung leiden unter einer mehr oder weniger gravierenden Form von Zahnfleischerkrankung. Die Erkrankung läuft in den meisten Fällen über einen langen Zeitraum völlig symptomlos ab, gelegentliche Blutungen werden oftmals vom Patienten übersehen oder nicht richtig interpretiert. Parodontitis hat auch Auswirkungen auf die Allgemeingesundheit. Nach neueren Untersuchungen fördern chronische Zahnfleischentzündungen das Auftreten von Herz-Kreislauferkrankungen, Schlaganfall, Diabetes und stellen ein Risiko für Schwangere dar.
Bei der Behandlung der Parodontitis werden die Zahnwurzeloberflächen äußerst effektiv gereinigt, die Zahnfleischtaschen mit hochwirksamen keimreduzierenden Substanzen gespült und von Belägen, Bakterien und dem entzündlichen Gewebe befreit. In einzelnen Fällen ist eine unterstützende Antibiotikatherapie erforderlich.
Weitere Informationen finden Sie unter http://www.DGParo.de
Zahnfleischrückgang und das teilweise Freiliegen von Zahnwurzeln werden als Rezessionen bezeichnet. Diese haben ihre Ursachen unter anderem in der Parodontitis, Infektionskrankheiten oder schädigenden, mechanischen Einfluss. Ihre Problematik besteht, von der Ästhetik abgesehen, in Überempfindlichkeit bis zu schmerzhaften freiliegenden Zahnhälsen, der Gefahr einer Wurzelkaries und dem Verlust des natürlichen Zahnhalteapparates, denn der Zahnfleischrückgang ist immer auch mit Knochenschwund verbunden. Im Sinne der Zahnerhaltung und der Wiederherstellung der sogenannten roten Ästhetik ist eine Rezessionsbehandlung notwendig. Hierfür stehen verschiedene operative Methoden zur Verfügung, die es im individuellen Fall auszuwählen gilt. Um den Behandlungserfolg zu sichern ist eine intensive Mundhygiene und eine individuelle Prophylaxe notwendig.
Weitere Informationen finden Sie unter http://www.DGParo.de
CMD ist die Abkürzung für cranio-madibuläre Dysfunktion. Dieser Fachbegriff steht für eine Erkrankung des funktionellen Zusammenspiels aller Komponenten des Kauorgans.
Häufige Kopfschmerzen, Verspannungen im Schulter- und Nackenbereich, Probleme bei der Mundöffnung und beim Kauen und Reibe- oder Knackgeräusche im Kiefergelenk gehören zu den Symptomen einer solchen funktionellen Störung des Kausystems. Ursache für diese Funktionsstörung können eine Über- oder Fehlbelastung der Kiefergelenke und/oder der Kaumuskulatur sein, die wiederum durch Pressen oder Zähneknirschen ( Bruxismus), durch eine Bissfehlstellung oder fehlerhafte Zahnkontakte verursacht sein können, als auch durch übermäßiges Kauen von Kaugummi, schlechte Sitzhaltung oder häufige Fehlhaltung des Kopfes (z.B. beim Schlafen auf dem Bauch).
Eine Beseitigung bzw. Linderung der Beschwerden wird mit Hilfe eines speziellen Aufbisssbehelfes (Schiene) und der Entspannung der Kaumuskulatur angestrebt.
Die Aufbissschiene diehnt zur Entlastung der Kiefergelenke und der Kaumuskulatur, gleicht fehlerhafte Zahnkontakte aus sorgt für eine exakte Führung der Unterkieferbewegung und unterstützt die Findung der optimalen Unterkieferposition. Deshalb muss sie sorgfälltig eingeschliffen (adjustiert) werden. Dies sollte in enger Zusammenarbeit mit Physiotherapeuten, Osteopathen oder Manualtherapeuten erfolgen.
Voraussetzung ist eine klinische Strukturanalyse, eine exakte Vermessung der Bissituation, die Analyse der Modelle im Bisssimulator (Artikulator) sowie Röntgenaufnahmen.
In besonderen Fällen ist eine Magnetresonanztomografie (MRT) zur Darstellung des Inneren des Kiefergelenkes unterstützend notwendig.

In einem gesunden, störungsfrei arbeitenden Kauorgan bilden die einzelnen Komponenten eine stabile funktionelle Einheit.

In einem gesunden, störungsfrei arbeitenden Kauorgan bilden die einzelnen Komponenten eine stabile funktionelle Einheit.

Sind die Störungen jedoch in einem oder mehreren Teilen dieser funktionellen Einheit zu massiv, gerät das System aus dem Gleichgewicht und stürzt ein.

Durch unterstützende und korrigierende Maßnahmen wird das System wieder ins Gleichgewicht gebracht.
Funktionsanalyse bei Störungen des Kiefergelenk oder Schmerzen von Kiefer und Gesicht sowie Hals oder Nacken. Muskulatur und Kiefergelenke in Einheit bei Dr. Hennig in Herrnburg oder Lübeck auch Mecklenburg CMD - cranio-madibuläre Dysfunktion, Symptome sind Kopfschmerzen, Verspannungen im Schulter- und Nackenbereich, Probleme bei der Mundöffnung und beim Kauen und Reibe- oder Knackgeräusche im Kiefergelenk. Ursache für diese Funktionsstörung können eine Über- oder Fehlbelastung der Kiefergelenke , der Kaumuskulatur, Pressen, Zähneknirschen ( Bruxismus), Bissfehlstellung, fehlerhafte Zahnkontakte, schlechte Sitzhaltung, häufige Fehlhaltung des Kopfes, Therapie: Aufbissbehelfes (Schiene), Entspannung der Kaumuskulatur, Physiotherapeuten, Osteopathen oder Manualtherapeuten, klinische Strukturanalyse, exakte Vermessung der Bissituation, die Analyse der Modelle im Bissimulator (Artikulator).
Die Ursache dafür ist die gut gemeinte aber leider oft ungeeignete Wortwahl.
Was tun?
„Sie hypnotisieren Ihre Kinder ohnehin jeden Tag. Warum dann nicht bewusst das Richtige vermitteln?“
Positives Einstimmen
Ungünstig:
„Es wird nicht weh tun.“
Besser:
„Es ist in Ordnung, wenn du etwas spürst, und ich bin gespannt, wie sich das für dich anfühlt.“
Positives Begleiten
Kinder nutzen schreien als Ventil!

Positives Auswerten
„Na siehst du, war doch gar nicht schlimm, den Mund aufzumachen.“
Besser:
„Das war ja Klasse, wie weit du den Mund aufmachen konntest!“

Diese umweltschonende und extrem strahlenreduzierte Röntgenmethode wird auch in unserer Praxis angewandt.
Vorzüge dieses Röntgenverfahrens:
Die Behandlung entspannt erleben, in einem traumähnlichen Zustand, das wird möglich mit der Hypnose (Trance). Erinnern Sie sich an eine Tätigkeit, die Sie mit größter Konzentration durchgeführt haben, bei der Sie Zeit und Umgebung einfach vergaßen? Das kann Ihnen bei einer langen Autofahrt passiert sein, beim Joggen, in einem Konzert oder bei einer spannenden Lektüre. Anschließend waren Sie überrascht, wie schnell die Zeit vergangen war, denn Sie hatten etwas "wie in Trance" erlebt! Bei der medizinischen Anwendung fördern wir diese Fähigkeit zur "Alltagstrance" sehr stark und so gezielt, dass Sie sich auch auf dem Zahnarztstuhl aus der momentanen Situation (der Behandlung) soweit entfernen können, wie Sie es möchten. Dieser Entspannungszustand ist mit einer Beruhigung der inneren Rhythmen (z.B. Atmung und Pulsschlag) verbunden, die es jedem Menschen auf seine eigene Art ermöglichen, sich in sein inneres Erleben zu vertiefen. Das führt zu einer starken Einschränkung der äußeren Wahrnehmung und lässt dadurch die zahnärztliche Behandlung im Hintergrund verschwinden. Dabei sind Sie jederzeit ansprechbar und können sich, wenn Sie wollen, auch kurzfristig der Behandlung zuwenden, so dass Sie in Trance die Entscheidungsfreiheit haben, die Behandlung teilweise mitzuerleben oder sich ganz von ihr zu entfernen. Wir begleiten Sie dabei in einer ruhigen und entspannten Atmosphäre.
Weitere Informationen finden Sie unter http://www.DGZH.de
Aligner - AirSmile
Aligner bedeutet auf Deutsch so viel wie in gerader Linie aufstellen oder auch ausrichten. Und genau das ist mit AirSmile möglich. Airsmile ist die AlignerTherapie von Flemming, dem Zahnlabor unseres Vertrauens. Bei Alignern handelt es sich um dünne transparente Kunststoffschienen, die für jedes Gebiss und Situation der zu verändernden Zahnstellung individuell hergestellt werden. Sie sind nahezu unsichtbar, zeichnen sich durch einen hohen Tragekomfort aus und sind herausnehmbar, so dass sie weder beim Essen noch bei der Mundhygiene stören. Damit stellen sie eine angenehme und bewährte Alternative zu herkömmlichen Zahnspangen dar. Für eine Korrektur seiner Zahnstellung für ein zufriedenes und damit perfektes Lächeln ist man nie zu alt!
Beim Intraoralscan handelt es sich um eine optisch-elektronische Abformung im Mund mit einer kleinen Kamera, die die Zahnreihen als digitale Daten erfasst und auf dem Monitor als dreidimensionales Modell darstellt. Die Daten können sofort kontrolliert, gegebenenfalls korrigiert und dann per Mausklick ins zahntechnische Labor übermittelt werden. Das vermeidet Transportwege, Materialverbrauch und Abfallproduktion. Die Präzision, die mit der digitalen Abformung erreicht wird, hat eine deutliche Erhöhung der Passgenauigkeit des Zahnersatzes und damit seiner Langlebigkeit zur Folge. Der Intraoralscan ist im Vergleich zur konventionellen Abformung einfacher, schneller, genauer und angenehmer. Die Vorteile für den Patienten: - Kein Beißen in eine klebrige Abformmasse und Warten bis diese fest ist - Kein Würgereiz - Zeitersparnis - Höhere Qualität